Pictures news/stock.adobe.com

ReizdarmsyndromTherapie mit inaktivierten Bakterien lindert Beschwerden

Durch Hitzebehandlung inaktivierte Bakterien vom Stamm Bifidobacterium bifidum MIMBb75 verbesserten in einer placebokontrollierten Studie die Symptome bei Reizdarmpatienten. Somit scheinen die positiven Effekte der Bakterien unabhängig von ihrer Lebensfähigkeit zu sein.

ronstik/stock.adobe.com

ReizdarmsyndromWas bringt Pfefferminzöl wirklich?

Pfefferminzöl wird zur Behandlung des Reizdarmsyndroms häufig eingesetzt, auch wenn Nachweise zur Wirksamkeit aus qualitativ hochwertigen Studien fehlen. Daher untersuchten niederländische Wissenschaftler die Wirksamkeit und Sicherheit von zwei Pfefferminzöl-Formulierungen in einer randomisierten, placebokontrollierten Studie.

Kateryna_Kon - AdobeStock (Symbolbild)

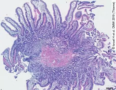
Zöliakie bei KindernRisiko für Epilepsie erhöht

Eine Zöliakie kann sich nicht nur durch Verdauungsbeschwerden bemerkbar machen. Es gibt Hinweise darauf, dass auch epileptische Anfälle als Symptom auftreten können. Eine neue Studie deutet jetzt auf ein erhöhtes Epilepsie-Risiko bei Kindern und Jugendlichen mit Zöliakie hin.

Entzündeter Wumfortsatz
nerthuz/stock.adobe.com

Akute Appendizitis bei KindernLaparoskopisch versus offene Appendektomie

Die Entfernung des Blinddarms ist ein Routine-Eingriff. Doch welche Methode schneidet besser ab: die laparoskopische oder die offene Appendektomie? Jetzt verglichen Wissenschaftler aus Japan die beiden Methoden hinsichtlich postoperativer Outcomes bei Kindern.

Thieme

Cetuximab bei fortgeschrittenem Darmkrebs

Eine Interimsanalyse der Phase-3-Studie New EPOC hatte bereits ergeben, dass Patienten mit resektablen Darmkrebsmetastasen in der Leber hinsichtlich des progressionsfreien Überlebens nicht von einer perioperativen Chemotherapie plus Cetuximab im Vergleich zur alleinigen Chemotherapie profitieren. Jetzt liegen die Langzeitergebnisse vor. Sehen Sie…

thanksforbuying/stock.adobe.com

Wissen einfach hörenZeitumstellung und Darmbakterien

Ende März ist es wieder soweit: Die Uhr wird umgestellt, und zwar eine Stunde nach vorn! Das leider zum Leidwesen vieler, denn Müdigkeit und Schlafstörungen drohen. Doch nicht nur unser Rhythmus kommt dabei durcheinander, sondern auch der von kleinsten Mikroorganismen in unserem Körper. Denn auch Darmbakterien scheinen eine innere Uhr zu haben.…

sakurra - AdobeStock (Symbolbild)

DarmentzündungImmunzellen schützen Nervenzellen nach Infektion

Bei einer Infektion im Magen-Darm-Trakt entzündet sich ein Teil des Gewebes und Darmnervenzellen sterben ab. Dieser Verlust führt häufig zu einer Einschränkung der Darmbeweglichkeit. In vielen Fällen folgen auch zusätzliche Erkrankungen wie das Reizdarmsyndrom. Wie es zu dem Absterben der Nervenzellen kommt, war bisher unklar. Einem internationalen…

solipa/stock.adobe.com

AnalkrebsGute Heilungschancen dank Strahlenchemotherapie

Die Heilungschancen für Patienten mit Analkarzinom sind besser als bei vielen anderen Krebserkrankungen. Bei frühestmöglicher Erkennung und Behandlung liegt die Heilungsaussicht heute bei fast 90%. Die Strahlenchemotherapie stellt derzeit den Therapiestandard dar. Eine kürzlich publizierte Studie [1] analysierte anhand früherer Erhebungen…

Gina Sanders/stock.adobe.com

ReizdarmsyndromEluxadolin wirksam und sicher

Beim Reizdarmsyndrom in Kombination mit Durchfall (RDS-D) sind die Behandlungsmöglichkeiten eingeschränkt. Wissenschaftler aus den USA untersuchten die Wirksamkeit und Sicherheit von Eluxadolin bei Patienten mit RDS-D, bei denen die Behandlung mit Loperamid nur zu einer unzureichenden Symptomkontrolle führte.

hin255/stock.adobe.com

Darmkrebs-OperationAuf die Erfahrung kommt es an

Patienten mit Darmkrebs haben größere Überlebenschancen, wenn sie in Kliniken mit hohen Fallzahlen operiert werden. Denn dort bekommt man Komplikationen, die nach dem Eingriff auftreten können, besser in den Griff.

Lukas Gojda - AdobeStock / bearb. mrs

Wissen einfach hörenWeihnachten und Darmflora

Weihnachten – das Fest der Familie! Doch dem Darm scheint die gemeinsame Zeit mit der Familie gar nicht gut zu tun, zumindest, wenn man die Feiertage mit den Schwiegereltern verbringt. Warum das so ist, erfahren Sie in unserer neuen Podcast-Folge.

Dr. Schär AG
Advertorial

Dr. Schär AG/SPAGluten, Weizen & Co: Neues zu getreideassoziierten Erkrankungen – Teil 2

Der Schwerpunkt bei der Therapie getreideassoziierter Erkrankungen liegt auf ernährungstherapeutischen Maßnahmen. In Teil 2 des Podcasts „Gluten, Weizen & Co: Neues zu getreideassoziierten Erkrankungen“ beschäftigen wir uns damit genauer und geben Tipps für die Praxis. Unterstützt werden wir dabei von Diätassistentin Annette Englert aus…

shutterstock
Advertorial

Dr. Schär AG/SPAGluten, Weizen & Co: Neues zu getreideassoziierten Erkrankungen – Teil 1

Getreideassoziierte Erkrankungen stellen in der ärztlichen Praxis aufgrund überlappender Krankheitsbilder häufig eine Herausforderung dar. In Teil 1 des Podcasts „Gluten, Weizen & Co: Neues zu getreideassoziierten Erkrankungen“ erfahren Sie daher alles zum Thema Diagnostik, Symptome und Abgrenzung von Zöliakie, Gluten-/Weizensensitivität und…