Thieme

Cetuximab bei fortgeschrittenem Darmkrebs

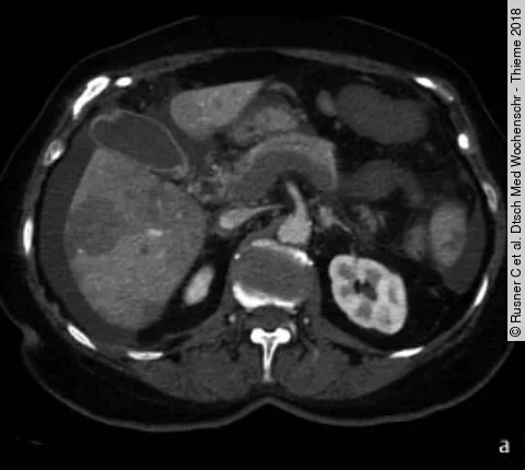
Eine Interimsanalyse der Phase-3-Studie New EPOC hatte bereits ergeben, dass Patienten mit resektablen Darmkrebsmetastasen in der Leber hinsichtlich des progressionsfreien Überlebens nicht von einer perioperativen Chemotherapie plus Cetuximab im Vergleich zur alleinigen Chemotherapie profitieren. Jetzt liegen die Langzeitergebnisse vor. Sehen Sie…

thanksforbuying/stock.adobe.com

Wissen einfach hörenZeitumstellung und Darmbakterien

Ende März ist es wieder soweit: Die Uhr wird umgestellt, und zwar eine Stunde nach vorn! Das leider zum Leidwesen vieler, denn Müdigkeit und Schlafstörungen drohen. Doch nicht nur unser Rhythmus kommt dabei durcheinander, sondern auch der von kleinsten Mikroorganismen in unserem Körper. Denn auch Darmbakterien scheinen eine innere Uhr zu haben.…

sakurra - AdobeStock (Symbolbild)

DarmentzündungImmunzellen schützen Nervenzellen nach Infektion

Bei einer Infektion im Magen-Darm-Trakt entzündet sich ein Teil des Gewebes und Darmnervenzellen sterben ab. Dieser Verlust führt häufig zu einer Einschränkung der Darmbeweglichkeit. In vielen Fällen folgen auch zusätzliche Erkrankungen wie das Reizdarmsyndrom. Wie es zu dem Absterben der Nervenzellen kommt, war bisher unklar. Einem internationalen…

solipa/stock.adobe.com

AnalkrebsGute Heilungschancen dank Strahlenchemotherapie

Die Heilungschancen für Patienten mit Analkarzinom sind besser als bei vielen anderen Krebserkrankungen. Bei frühestmöglicher Erkennung und Behandlung liegt die Heilungsaussicht heute bei fast 90%. Die Strahlenchemotherapie stellt derzeit den Therapiestandard dar. Eine kürzlich publizierte Studie [1] analysierte anhand früherer Erhebungen…

Gina Sanders/stock.adobe.com

ReizdarmsyndromEluxadolin wirksam und sicher

Beim Reizdarmsyndrom in Kombination mit Durchfall (RDS-D) sind die Behandlungsmöglichkeiten eingeschränkt. Wissenschaftler aus den USA untersuchten die Wirksamkeit und Sicherheit von Eluxadolin bei Patienten mit RDS-D, bei denen die Behandlung mit Loperamid nur zu einer unzureichenden Symptomkontrolle führte.

hin255/stock.adobe.com

Darmkrebs-OperationAuf die Erfahrung kommt es an

Patienten mit Darmkrebs haben größere Überlebenschancen, wenn sie in Kliniken mit hohen Fallzahlen operiert werden. Denn dort bekommt man Komplikationen, die nach dem Eingriff auftreten können, besser in den Griff.

Lukas Gojda - AdobeStock / bearb. mrs

Wissen einfach hörenWeihnachten und Darmflora

Weihnachten – das Fest der Familie! Doch dem Darm scheint die gemeinsame Zeit mit der Familie gar nicht gut zu tun, zumindest, wenn man die Feiertage mit den Schwiegereltern verbringt. Warum das so ist, erfahren Sie in unserer neuen Podcast-Folge.

Dr. Schär AG
Advertorial

Dr. Schär AG/SPAGluten, Weizen & Co: Neues zu getreideassoziierten Erkrankungen – Teil 2

Der Schwerpunkt bei der Therapie getreideassoziierter Erkrankungen liegt auf ernährungstherapeutischen Maßnahmen. In Teil 2 des Podcasts „Gluten, Weizen & Co: Neues zu getreideassoziierten Erkrankungen“ beschäftigen wir uns damit genauer und geben Tipps für die Praxis. Unterstützt werden wir dabei von Diätassistentin Annette Englert aus…

shutterstock
Advertorial

Dr. Schär AG/SPAGluten, Weizen & Co: Neues zu getreideassoziierten Erkrankungen – Teil 1

Getreideassoziierte Erkrankungen stellen in der ärztlichen Praxis aufgrund überlappender Krankheitsbilder häufig eine Herausforderung dar. In Teil 1 des Podcasts „Gluten, Weizen & Co: Neues zu getreideassoziierten Erkrankungen“ erfahren Sie daher alles zum Thema Diagnostik, Symptome und Abgrenzung von Zöliakie, Gluten-/Weizensensitivität und…

DGVS

KongressberichtReizdarmsyndrom: Ausblick auf die neue S3-Leitlinie

Wiesbaden - Aus der Aktualisierung der S3-Leitlinie zum Reizdarmsyndrom (RDS) ist eine komplette Überarbeitung geworden, berichtete Prof. Dr. Peter Layer, Hamburg, anlässlich des Kongresses Viszeralmedizin 2019 in Wiesbaden. Noch müssen alle Beteiligten zustimmen, aber er gab schon einmal Einblicke in die konsentierte Fassung.

Prof. Dr. Jochen Weigt, Magdeburg

Endoskopisches LehrvideoPolyp im Divertikel

Unser neues Endoskopie-Video zeigt einen offensichtlichen Befund, der aber auch leicht zu übersehen ist. Welcher das ist und welche Methode zur Behandlung angewandt wurde, präsentiert PD Dr. Jochen Weigt vom Uniklinikum Magdeburg.

Sebastian Kaulitzki - Fotolia.com (Symbolbild)

Kolorektale PolypektomieKaltschlingenabtragung mit fortlaufender Antikoagulation nicht unterlegen

Das Management der Antikoagulation bei Patienten mit Polypektomie ist immer noch umstritten. Eine japanische Studie konnte jetzt zeigen, dass die „Cold-snare“-Polypektomie (CSP) bei fortlaufender Antikoagluation zur Entfernung von Polypen < 1 cm mindestens genauso sicher ist wie die „Hot-snare“-Polypektomie (HSP) plus Heparin-Bridging (HB).