Heni M, Karlas T. DMW - Deutsche Medizinische Wochenschrift 2022; 147(10): 585 - 586.

QuizAuflösung: 69-jähriger Patient mit chronischer epigastrischer Schwellung

Befunde

Siehe großes Bild unten

  1. Ausgeprägtes subkutanes Venenkonvolut vom Thorax bis nach infraumbilikal reichend (a)
  2. Mediane Laparotomienarbe (b)
  3. Ein kräftig ausgebildetes Gefäß entlang des Ligamentum falciforme (c, Pfeil), das zu einem periumbilikalen Venengeflecht zieht (d, Sternmarkierung)
     
Heni M, Karlas T. DMW - Deutsche Medizinische Wochenschrift 2022; 147(10): 585 - 586.

Quiz69-jähriger Patient mit chronischer epigastrischer Schwellung

Bei einem 69-jährigen Patienten mit bekannter kompensierter Leberzirrhose im Stadium Child A zeigte sich in der körperlichen Untersuchung eine ausgedehnte indolente Schwellung zwischen Epigastrium und Nabel. Der Patient gab an, dass es sich um einen bekannten „Narbenbruch“ nach einer länger zurückliegenden Laparotomie (Magenteilresektion nach…

ag visuell/stock.adobe.com

Zunahme von Leberkrebs-Fällen erwartet

1,4 Mio. Menschen könnten im Jahr 2040 an Leberkrebs erkrankt sein. Auch die Zahl der Todesfälle könnte damit um 56,4 Prozent zunehmen. Das ist das Ergebnis von Berechnungen, die Wissenschaftler um Harriet Rumgay von IARC in Lyon durchgeführt haben. 

Rasi/stock.adobe.com

Fettleber ist vermehrt Ursache für Leberzellkrebs

Das hepatozelluläre Karzinom (hepatocellular carcinoma, HCC) gehört zu den häufigsten Krebserkrankungen weltweit. In Deutschland gibt es derzeit rund 9.000 HCC-Neudiagnosen pro Jahr, fast 8.000 Betroffene überleben die Erkrankung nicht. Bevor der Tumor in der Leber entsteht, ist das Organ oft bereits durch eine chronische Entzündung vorgeschädigt.…

bluebay2014/stock.adobe.com

VirushepatitisWarum Entzündungen der Leber häufig unentdeckt bleiben

Nach aktuellen Angaben der Weltgesundheitsorganisation (WHO) leben weltweit schätzungsweise 354 Millionen Menschen mit einer Hepatitis-B- oder -C-Virusinfektion. In Deutschland gehen Experten für die Hepatitis B und C gesamt von mehreren Hunderttausend infizierten Menschen aus. Viele der Infektionen bleiben jedoch über Jahre oder sogar Jahrzehnte…

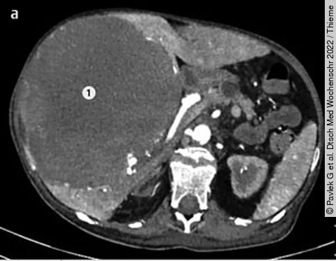
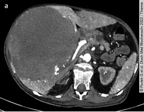
Pavlek G et al. Dtsch Med Wochenschr 2022/Thieme

Quiz57-jährige Patientin mit Oberbauchschmerzen und Anämie

Eine 57-jährige Patientin präsentierte sich mit plötzlichen Schmerzen im rechten Oberbauch, Übelkeit und Schwindel. Ein Trauma war nicht erinnerlich. Der Blutdruck betrug 95/65 mmHg und der Puls 120/min. Fieber oder Atembeschwerden bestanden nicht. Laborchemisch zeigte sich eine mikrozytäre Anämie (9,1 g/dL), Erhöhung der Transaminasen (AST 360…

Pavlek G et al. Dtsch Med Wochenschr 2022/Thieme

QuizAuflösung: 57-jährige Patientin mit Oberbauchschmerzen und Anämie

Befunde

Siehe großes Bild unten

  1. Eine große fokale hypodense Leberläsion, welche die ganze rechte Leber einnimmt
  2. Eine gute Vaskularisierung der Leberläsion
  3. Computertomografisch zeigen sich Areale verschiedener Dichte innerhalb der Läsion
peterschreiber.media/stock.adobe.com

NAFLD und schwere AdipositasBariatrischer Eingriff senkt Risiko für kardiovaskuläre Folgen

Patienten mit nicht-alkoholischer Fettlebererkrankung (NAFLD) haben ein erhöhtes Risiko für Herz-Kreislauf-Erkrankungen. Da es bislang keine pharmakologischen Behandlungen für die NAFLD gibt, werden vor allem eine Gewichtsabnahme und mehr Bewegung für eine Verbesserung des kardiometabolischen Indizes indiziert. Bislang ist nur wenig darüber…

PORNCHAI SODA/stock.adobe.com

Quiz46-jähriger Patient mit Bauchschmerzen und Übelkeit

Ein 46-jähriger Patient stellt sich wegen diffuser Bauchschmerzen und Übelkeit bei Ihnen in der Notaufnahme vor. Zudem habe er in den letzten 3 Monaten 5 kg an Gewicht zugenommen, ohne besonders fette Speisen bevorzugt zu haben. Vorerkrankungen sind nicht bekannt. Die Anamnese ergibt, dass der Patient seit Jahren täglich 1 Flasche Schnaps und 8…

PORNCHAI SODA/stock.adobe.com

QuizAuflösung: 46-jähriger Patient mit Bauchschmerzen und Übelkeit

Was ist sehr wahrscheinlich die Ursache der abdominellen Beschwerden?
Eine spontane bakterielle Peritonitis bei äthyltoxischer Leberzirrhose mit Aszites: Hinweise auf eine Leberzirrhose sind der Ikterus, die Spider-Nävi, das Palmarerythem, die vergrößerte, grobknotig verhärtete Leber, der Aszites und die Ösophagusvarizen. Für das Vorliegen einer…

sharryfoto/stock.adobe.com

Welche Impfungen sind für Menschen mit einer Lebererkrankung wichtig?

Schon bald stehen neue, an zwei Omikron-Varianten angepasste Corona-Impfstoffe zur Verfügung. Impfungen sind besonders wichtig für Bevölkerungsgruppen mit erhöhtem Risiko schwerer Verläufe wie beispielsweise Leberkranke. Die Ausrichter des 23. Deutschen Lebertages am 20. November 2022 betonen mit dem Motto: „total zentral: die Leber!“ die Bedeutung…

lom123/stock.adobe.com

Gallensteine erhöhen Risiko für Krebserkrankungen

Gallensteine sind die häufigste Erkrankung der Gallenblase – und weit verbreitet. Sie können zu schmerzhaften Entzündungen führen, zur Entwicklung einer Gelbsucht beitragen und auch Veränderungen des metabolischen Hormonspiegels hervorrufen. Ob sie weiterhin auch Einfluss auf das Risiko für Krebserkrankungen der Leber und des Gastrointestinaltrakts…