SciePro/stock.adobe.com

NASHPan-Caspase-Inhibitor wirksam?

Für den Pan-Caspase-Inhibitor Emricasan wurde bereits gezeigt, dass dieser manche Leberenzyme hemmen kann, die zu einer Leberentzündung und Fibrose führen. Diese Studie ging der Frage nach, ob bei nicht alkoholischer Fettleber (NASH) die Behandlung mit Emricasan über 72 Wochen die Leberfibrose verbessern kann, ohne dass eine Verschlechterung der…

Bielow T et al. Dtsch Med Wochenschr 2020 (Thieme)

Quiz39-Jährige mit chronischen Bauchschmerzen

Eine 39-jährige Patientin bemerkte im Rahmen einer Schwangerschaft vor 14 Jahren erstmals ein Druckgefühl im rechtsseitigen Oberbauch. Seit 5 Jahren treten regelmäßig Schmerzen im Bereich des rechten Oberbauchs und der rechten Flanke mit drückendem Charakter auf.

Bielow T et al. Dtsch Med Wochenschr 2020 (Thieme)

QuizAuflösung: 39-Jährige mit chronischen Bauchschmerzen

Befunde:

  1. Großflächige, netzartige bräunliche Verfärbungen
  2. Multiple echofreie und scharf begrenzte Raumforderungen im gesamten Leberparenchym. Die Leber ist stark vergrößert.
ag visuell/stock.adobe.com

HCCErneute Hepatektomie oder Radiofrequenzablation?

Was ist bei Patienten mit HCC-Rezidiv hinsichtlich des Überlebens vorteilhafter: eine erneute Hepatektomie oder eine Radiofrequenzablation? Dieser Frage gingen jetzt Wissenschaftler aus China in einer randomisierten klinischen Studie nach.

Muehlenberg K et al. - Thieme Gruppe

Quiz61-Jähriger mit isoliertem Pleuraerguss

Der 61-jährige Patient stellte sich mit Dyspnoe vor, die auf einen isolierten rechtsseitigen Pleuraerguss zurückzuführen war. Nach Punktionen und vollständiger Entfernung sowie Diuretikatherapie trat dieser sehr rasch wieder auf. Eine Vielzahl von Untersuchungen ergab keine Hinweise auf eine kardiale, rheumatische, infektiöse, maligne oder chylöse…

Muehlenberg K et al. - Thieme Gruppe

QuizAuflösung: 61-Jähriger mit isoliertem Pleuraerguss

Befund:

1. Ultraschallkontrastmittel nach intraperitonealer Injektion ausschließlich unterhalb des Zwerchfells (Abb. 2a).

2. Nach 2 Minuten Kontrastmittel-Bubbles neu im Pleuraerguss nachweisbar (siehe 2, Abb.2b)

Thieme

News ClipBenötigen NAFLD-Patienten ein HCC-Screening?

Um herauszufinden, ob Patienten mit nicht-alkoholischer Fettlebererkrankung (NAFLD) ein Screening für hepatozelluläre Karzinome (HCC) benötigen, haben Wissenschaftler eine retrospektive Kohortenstudie durchgeführt. Sehen Sie im Video, bei welchen Patienten ein regelmäßiges Screening gerechtfertigt ist.

decade3d - AdobeStock (Symbolbild)

NASHHäufigste Ursache für Lebertransplantationen bei Frauen

Früher war die chronische Hepatitis C der häufigste Grund für Lebertransplantationen in den USA. Laut einer aktuellen Studie hat jedoch seit der Einführung direkt antiviral wirksamer Substanzen Platz 1 in der Zwischenzeit die nicht-alkoholische Steatohepatitis (NASH) eingenommen, zumindest bei Frauen.

sector 2010 - Fotolia.com (Symbolbild)

BildergalerieDiese Anzeichen verraten eine Fettleber

Eine Verfettung der Leber bleibt häufig lange unerkannt, da die Betroffenen in den meisten Fällen erst einmal keine auffälligen Beschwerden haben. Welche Anzeichen dennoch auf eine Fettleber hinweisen können, verraten wir Ihnen in unserer Bildergalerie. Klicken Sie sich durch!

Rusner C et al. Dtsch Med Wochenschr - Thieme 2018

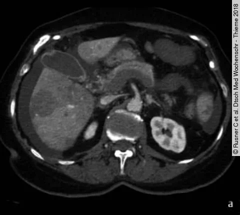
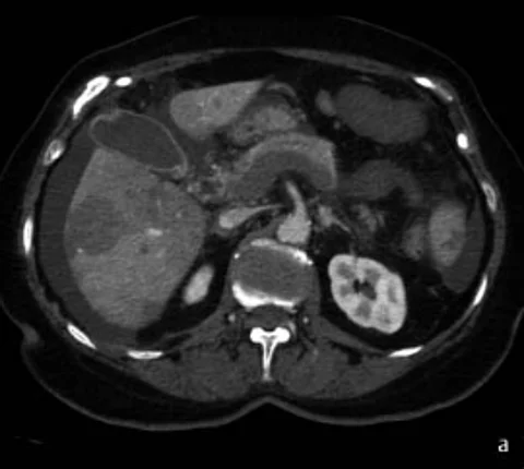
Quiz70-Jährige mit akutem Abdomen

Die 70-Jährige stellte sich mit dem klinischen Bild eines akuten Abdomens in der Notaufnahme vor. Sie gab progrediente Bauchschmerzen seit 5 Tagen an. Bei der klinischen Untersuchung ergaben sich abdominal eine diffuse Abwehrspannung und fehlende Darmgeräusche. Das Basislabor erbrachte keinen wegweisenden Befund. Es erfolgte eine…

Rusner C et al. Dtsch Med Wochenschr - Thieme 2018

QuizAuflösung: 70-Jährige mit akutem Abdomen

Befunde (s. Bildergalerie)

  1. Thrombose der V. portae, V. lienalis und V. mesenterica superior
  2. Akute Ischämie des Dünndarms
  3. Perfusionsdefekte der Leber und Milz
  4. Aszites
Gina Sanders - Fotolia.com

FettleberPPI könnten Entwicklung von Lebererkrankungen begünstigen

Protonenpumpenhemmer (PPI) gehören zu den am häufigsten verordneten Arzneimitteln. In den letzten Jahren sind jedoch einige Studien erschienen, die auf unerwünschte Wirkungen der PPI bei Langzeittherapie hinweisen. Neben einem gesteigerten Risiko für osteoporotische Frakturen sowie Darm- und Lungeninfektionen wird jetzt auch ein erhöhtes Risiko für…