PhotoSG/stock.adobe.com

ReizdarmsyndromStark verarbeitete Lebensmittel erhöhen Risiko

Stark verarbeitete Lebensmittel haben bei vielen einen festen Platz im Alltag – trotz immer stärker werdender Bedenken hinsichtlich gesundheitsschädigender Wirkungen. Einmal mehr zeigt jetzt eine Studie die schlechten Auswirkungen, was Magen-Darm-Erkrankungen betrifft.

Stäbler A, Ertl-Wagner B - Thieme 2018

Quiz51-Jährige mit kolikartigen Bauchschmerzen und Gewichtsverlust

Eine 51-jährige Patientin stellt sich mit kolikartigen Bauchschmerzen und Gewichtsverlust vor. Nach der Dünndarmuntersuchung nach Sellink können Sie sich ein genaueres Bild über die Ursache der Beschwerden der Patientin machen. Was befunden Sie?

Stäbler A, Ertl-Wagner B - Thieme 2018

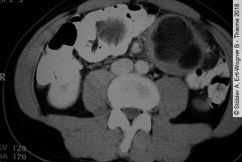
Quiz52-Jähriger mit Übelkeit und Gewichtsabnahme

Ein 52-jähriger Patient stellt sich mit Übelkeit und Gewichtsabnahme und krampfartigen Bauchschmerzen vor. Was fällt Ihnen in der CT nach oraler und i. v. Kontrastmittelgabe auf?

ag visuell - Fotolia.com (Symbolbild)

GISTLaparoskopie verkürzt Krankenhausaufenthalt

Die Hauptsäule in der Behandlung gastrointestinaler Stromatumoren (GIST) ist der operative Eingriff. Sind die technischen Voraussetzungen gegeben, ist eine laparoskopische Entfernung möglich. Im Vergleich zur offenen Operation untersuchten jetzt Badic B et al. die postoperativen Langzeit-Outcomes in einer retrospektiven Kohortenstudie.

Prof. Dr. Jochen Weigt, Magdeburg

Endoskopisches LehrvideoTumor im Zökum

Ein genauer Blick lohnt sich bei unserem neuen endoskopischen Fall: PD Dr. Jochen Weigt präsentiert im Video einen Zufallsbefund bei einer 60-jährigen Patientin, die aufgrund eines positiven Hämoccult-Tests untersucht wurde. Neugierig? Dann gleich reinschauen!

Andre Bonn - Fotolia.com

ReisedurchfallSpeichel ist wichtiger Schutz

Wissenschaftler der Boston University School of Medicine haben mit Histatin-5 ein Protein im Speichel identifiziert, das den Körper vor Reisedurchfall schützt. Die im Journal of Infectious Diseases veröffentlichten Forschungsergebnisse könnten zur Entwicklung neuer präventive Therapien für eine Erkrankung beitragen, die gerade bei Kindern oder…

Kateryna_Kon/stock.adobe.com

Clostridium-difficile-Infektion nach intestinaler TransplantationPPI-Gabe könnte Schutz bieten

Clostridium difficile gilt als häufige Ursache für infektiöse Durchfallerkrankungen. Allerdings sind Risikofaktoren für Clostridium-difficile-Infektionen (CDI) bei Empfängern von intestinalen Transplantaten bislang nicht klar definiert. Um spezifische Faktoren zu bestimmen, führten jetzt Guzman L et al. eine Fall-Kontroll-Studie durch.

Prof. Dr. Jochen Weigt, Magdeburg

Ungebetene GästeWurmbefall bei symptomlosem Patienten

Bei einer Nachsorgekoloskopie erregte folgender Fall Aufmerksamkeit: Ein 47-jähriger Mann mit positiver Familienanamnese für kolorektale Karzinome in der Vergangenheit kam zur Verlaufskontrolle. Er war völlig symptomlos. Doch dann die Überraschung: Beim Rückzug fanden sich weißliche Würmer im Kolon.

Kunstzeug/stock.adobe.com

Warum Hygiene so wichtig istC.-difficile-Infektionen breiten sich über Bildgebungsgeräte aus

Eine Infektion mit dem Erreger Clostridium difficile ist nicht zu unterschätzen: Sie kann zu einer signifikant erhöhten Morbidität und Mortalität führen. Insbesondere hospitalisierte Patienten sind gefährdet. Wo die größten Gefahrenstellen für eine Ansteckung sind, haben Sara Murray und Kollegen bei sich an ihrer Universitätsklinik in Kalifornien…

Andrey Popov/stock.adobe.com

Entzündliche DarmerkrankungenMischpräparat verbessert Lebensqualität

Beim Reizdarmsyndrom kann die Einnahme von Beta-Glukan, Inositol und Verdauungsenzymen abdominelle Schmerzen reduzieren. Jetzt scheint die Kombination auch bei Patienten mit zusätzlicher entzündlicher Darmerkrankung zu helfen. In einer aktuellen Studie verbesserte sich bei diesen durch die Einnahme der Mischung der klinische Gesamtzustand.